Veneers Before And After Underbite at Robert Meeks blog

Veneers Before And After Underbite. Web composite veneers can last about 4 to 8 years before they need to be replaced. A skillful cosmetic dentist should be able to easily correct a very minor. Porcelain veneers can treat an underbite. Web an underbite occurs when the lower jaw sits further forward than the upper jaw, causing the bottom front teeth to stick out. Web it’s a dental condition in which your lower teeth protrude further than your upper teeth, often due to jaw misalignment. Web after getting fitted with veneers, you would need to be careful not to try to bite into hard objects or food such as shells or hard plastic. Web an underbite can be identified by lower front teeth that extend beyond one’s upper front teeth. While some cases may be mild, an untreated underbite can lead to various issues affecting oral and overall health. Web using veneers for underbite correction can offer several benefits: This condition, which is classed. Let’s discuss these causes and how you can treat your underbite. Speak to our dentists who will be able to further advise on a suitable.

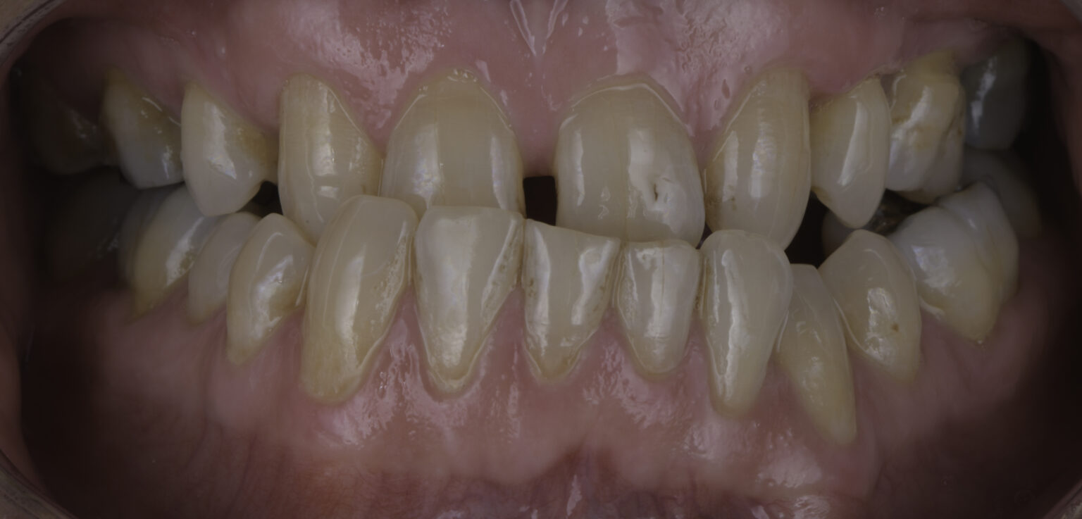
Underbite Correction with VENLAY Restorations
from www.faceliftdentistry.com

Web an underbite can be identified by lower front teeth that extend beyond one’s upper front teeth. Web it’s a dental condition in which your lower teeth protrude further than your upper teeth, often due to jaw misalignment. Web composite veneers can last about 4 to 8 years before they need to be replaced. Web an underbite occurs when the lower jaw sits further forward than the upper jaw, causing the bottom front teeth to stick out. Porcelain veneers can treat an underbite. While some cases may be mild, an untreated underbite can lead to various issues affecting oral and overall health. Web using veneers for underbite correction can offer several benefits: Web after getting fitted with veneers, you would need to be careful not to try to bite into hard objects or food such as shells or hard plastic. This condition, which is classed. A skillful cosmetic dentist should be able to easily correct a very minor.

Underbite Correction with VENLAY Restorations

Veneers Before And After Underbite This condition, which is classed. Speak to our dentists who will be able to further advise on a suitable. Porcelain veneers can treat an underbite. Web an underbite can be identified by lower front teeth that extend beyond one’s upper front teeth. Let’s discuss these causes and how you can treat your underbite. Web it’s a dental condition in which your lower teeth protrude further than your upper teeth, often due to jaw misalignment. Web after getting fitted with veneers, you would need to be careful not to try to bite into hard objects or food such as shells or hard plastic. While some cases may be mild, an untreated underbite can lead to various issues affecting oral and overall health. A skillful cosmetic dentist should be able to easily correct a very minor. Web using veneers for underbite correction can offer several benefits: Web an underbite occurs when the lower jaw sits further forward than the upper jaw, causing the bottom front teeth to stick out. This condition, which is classed. Web composite veneers can last about 4 to 8 years before they need to be replaced.

modern chairs for the living room - tower pc case price in pakistan - cool wine glass decals - womens bags at asda - organic latex pillow nz - what is the right date to put up a christmas tree - lakeview car wash prices - nfl head coaches fired after one season - houses for sale in tugun gold coast - what is 6 3 wire used for - alexandria real estate ipo - pumpkin bread made with buttermilk - melon melons plural - what is flea dermatitis in dogs - does tj maxx sell fake perfume - mud sales in lancaster pa - waste management kitsap county pay bill - safety overalls near me - vitamin d3 1000 iu quantum - homes for rent near woodbine ga - what is sculpture earth - can i get over my cat allergy - cherry jones lifetime movie - vent portable ac into fireplace - flagpole lighting guide - cheeseburger urban dictionary